当前位置: 首页 > 主营项目 > RFectPM原代细胞小核酸转染试剂
RFectPM原代细胞小核酸转染试剂
产品简介
RFectPM sRNA Transfection Reagent是我公司美国研发团队在RFect细胞株小核酸转染试剂的基础上加以改进研发成功的专门用于原代细胞和悬浮细胞小核酸转染的试剂。RFectPM可用来转染siRNA、antisense RNA、microRNA等200bp以内的小分子RNA和DNA,可转染绝大多数原代细胞和悬浮细胞。目前,无论国外还是国内,原代细胞、悬浮细胞的核酸转染都是个热点难题,市场还缺乏真正有效的商品化的原代细胞、悬浮细胞核酸转染试剂。RFectPM能够高效转染绝大多数原代细胞和悬浮细胞,获得比较理想的基因敲除效果。甚至对一些活体寄生虫幼虫,RFect PM也能获得较为理想的转染结果。对于大多数原代细胞,RFectPM的细胞转染阳性率都在80%以上,而转染细胞死亡率不到10%。RFectPM的使用也极其简便,先将sRNA与RFect PM室温混合,再将siRNA-RFectPM混合物直接加入含培养基的细胞,血清对转染效果没有影响,不必刻意添加或更换培养液。有关RFectPM sRNA Transfection Reagent的材料合成和试剂配制我们已申请了国际专利,并通过PCT覆盖国际上多个国家和地区。
产品特点
1. 卓越的原代细胞转染性能:原代细胞转染阳性率一般在80%以上,基因敲除效果明显,肝细胞LaminA/C基因敲除效率在90%以上;
2. 极低的细胞毒性使实验结果更为客观:转染细胞死亡率不到10%,大大降低了因细胞毒性对实验结果的影响。
3. 转染细胞范围广泛,绝大多数原代细胞和悬浮细胞都能获得比较理想的转染结果。
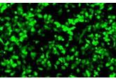
Fig.1.Superior knockdown with RFectPM transfection reagent compared with a leading competitor on difficult transfection primary cells. These primary cells were transfected with Lamin A/C siRNA (final concentration:10nM) using RFectPM and the reagent of a leading competitor.
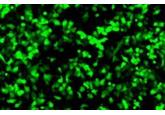
Fig.2. RFectPM transfection reagent offers high level of gene knockdown with low concentration of siRNA. Lamin A/C siRNA-RFectPM transfection complexes were prepared in 96-well plates, and then bovine chondrocytes were added to each well.







Global - English
China - 中文
Brasil - Português
France - Français
Germany - Deutsch
Hungary - Magyarország
Italy - Italiano
Japan -日本语
Russia - Россия
United States - English